SMILE MAKEOVER
Τι είναι η ανανέωση του χαμόγελου;
Η "ανανέωση" σε ένα χαμόγελο μπορεί να περιλαμβάνει διάφορες θεραπείες, από ορθοδοντική μέχρι θεραπείες με προσθετικές αποκαταστάσεις. Στόχος μας είναι να επιτύχουμε ένα φυσικό, λειτουργικό και όμορφο αποτέλεσμα για τους ασθενείς μας.
Οι παρακάτω θεραπείες μπορούν να αποτελέσουν μέρος της ανανέωσης του χαμόγελου (smile makeover)
- Όψεις
- Στεφάνες
- Αισθητικές αποκαταστάσεις σύνθετης ρητίνης
- Λεύκανση
- Οδοντικά εμφυτεύματα
- Οδοντιατρικές γέφυρες
- Επιμήκυνση της κλινικής μύλης (περιοδοντική πλαστική χειρουργική)
- Invisalign ή άλλες ορθοδοντικές διαδικασίες
Αυτή η θεραπεία είναι κατάλληλη για κάθε ασθενή που ενδιαφέρεται να αλλάξει την αισθητική σε συνδυασμό με την υγεία του χαμόγελου. Πρόκειται για διαδικασίες αποκατάστασης αποχρωματισμένων, φθαρμένων ή ραγισμένων δοντιών. Ο οδοντίατρός σας μπορεί να βελτιώσει την αισθητική του προσώπου, αλλάζοντας το μέγεθος, το σχήμα και τη θέση των δοντιών που βρίσκονται στη ζώνη του χαμόγελου και επίσης να αντικαταστήσει ένα ή περισσότερα δόντια που μπορεί να λείπουν.
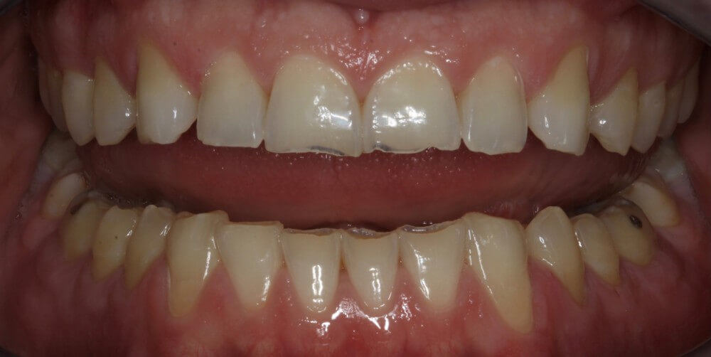
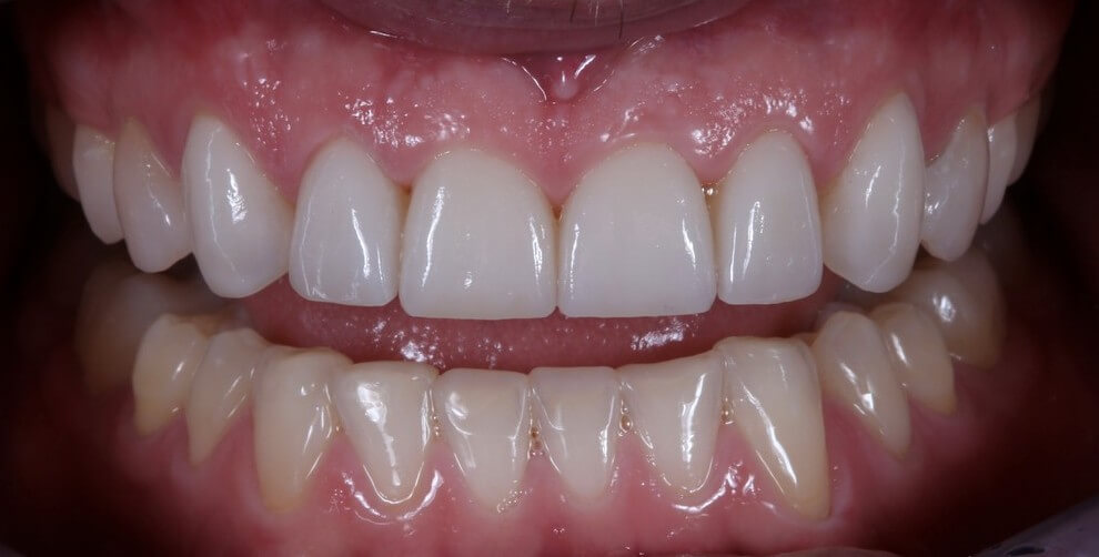
Κλινικές Περιπτώσεις





