ΠΛΗΡΗΣ ΑΠΟΚΑΤΑΣΤΑΣΗ ΣΤΟΜΑΤΟΣ
Τι είναι η αποκατάσταση όλου του στόματος;
Η πλήρης αποκατάσταση στόματος (γνωστή και ως full mouth rehabilitation ή full mouth reconstruction) είναι μια οδοντιατρική διαδικασία που στοχεύει στην πλήρη αποκατάσταση της λειτουργίας, της αισθητικής και της υγείας ολόκληρου του στόματος, σε περιπτωσεις που εχουν όλα αυτά χαθεί.
Περιλαμβάνει τη συνδυασμένη θεραπεία και αποκατάσταση όλων ή σχεδόν όλων των δοντιών και συχνά των ούλων και των περιριζικών ιστών, των αρθρώσεων της γνάθου και της σύγκλεισης.

Είναι μια θεραπείας εκλογής όταν:
- Τα δόντια έχουν υποστεί έντονη φθορά ή έχουν χαθεί λόγω εκτεταμένων τερηδόνων, περιοδοντικής νόσου ή τραύματος.
- Τα δόντια έχουν φθαρεί και έχουν χάσει τα χαρακτηριστικά τους (σχήμα, μέγεθος) λόγω διάβρωσης από οξέα (τρόφιμα, ποτά, γαστροοισοφαγική παλινδρόμηση) ή χρόνιου βρυγμού.
- Υπάρχουν πολυάριθμες προσθετικές αποκαταστάσεις που χρειάζονται αντικατάσταση.
- Υπάρχουν προβλήματα σύγκλεισης που επηρεάζουν τη λειτουργία του στοματογναθικού συστήματος και προκαλούν πόνους στις κροταφογναθικές αρθρώσεις.
- Υπάρχουν σοβαρά αισθητικά ή λειτουργικά προβλήματα που επηρεάζουν την ποιότητα ζωής.

Όταν έχουν χαθεί όλα ή σχεδόν όλα τα φυσικά δόντια, ή όταν τα υπάρχοντα δόντια δεν μπορούν να σωθούν η πλήρης ή ολική στοματική αποκατάσταση μπορει ανάλογα με την περίπτωση να περιλαμβάνει:
- Αφαίρεση των εναπομεινάντων δοντιών (εάν είναι μη διατηρήσιμα).
- Προσωρινές οδοντοστοιχίες για προσωρινή αποκατάσταση της μάσησης μέχρι να τοποθετηθούν τα εμφυτεύματα ή εναλλακτικά άμεση τοποθέτηση εμφυτευμάτων και άμεση αποκατάσταση με μεταβατικές επιεμφυτευματικές γέφυρες
- Οστική ανάπλαση ή ανύψωση ιγμορείου (αν δεν υπάρχει αρκετό οστό).
- Μόνιμες ολικές ή μερικές οδοντοστοιχίες εάν δεν επιλεγούν τα εμφυτεύματα ως θεραπευτική λύση.
- Επιεμφυτευματική γέφυρα "ολικού τόξου"
Η πλήρης ή ολική αποκατάσταση στόματος είναι μια πολύπλοκη διαδικασία που απαιτεί συχνά τη συνεργασία διαφόρων ειδικοτήτων όπως περιοδοντολόγου, ορθοδοντικού, ενδοδοντολόγου ή γναθοχειρουργού υπό τον συντονισμό του προσθετολόγου που είναι και ο ειδικός που σχεδιάζει και εκτελεί την τελική θεραπεία.
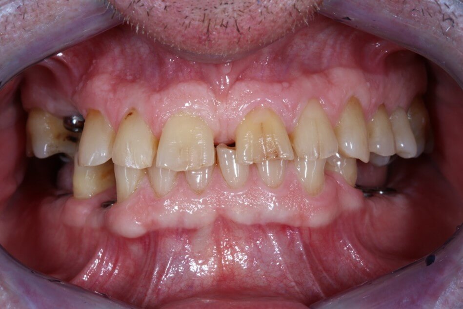
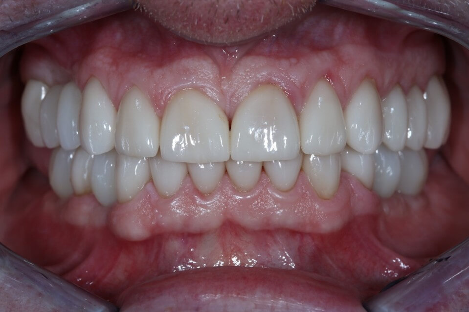
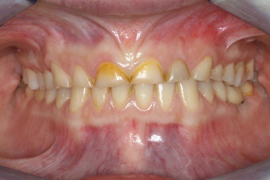
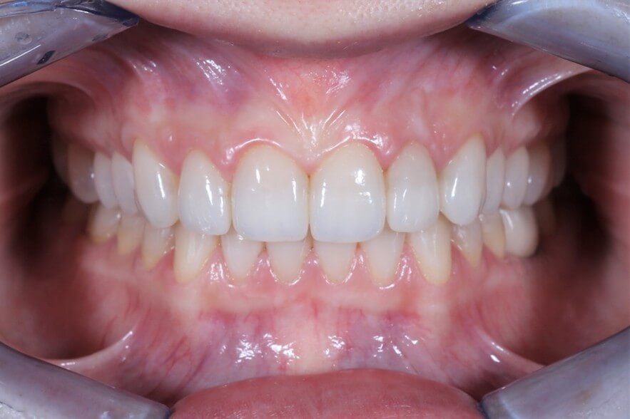
Κλινικές Περιπτώσεις



