ΟΨΕΙΣ ΠΟΡΣΕΛΑΝΗΣ
Τι είναι οι όψεις πορσελάνης;
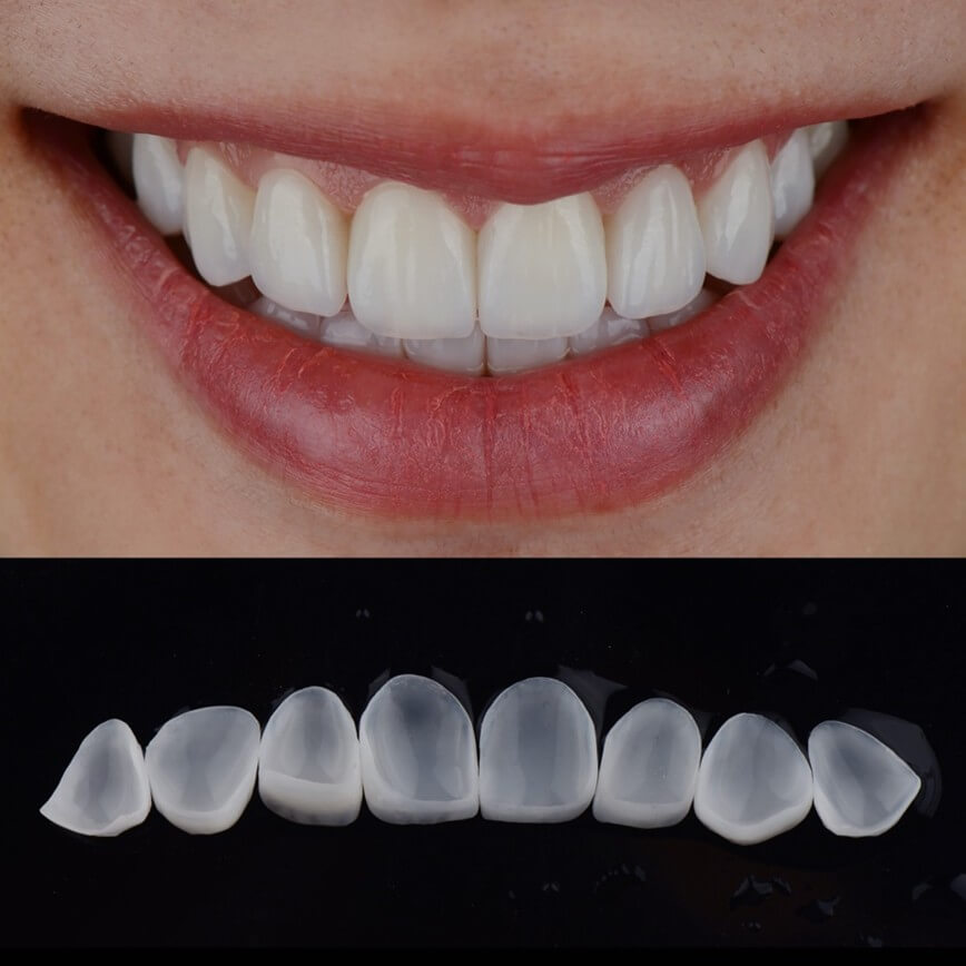
Οι όψεις είναι εξαιρετικά λεπτές «φλοίδες» από πορσελάνη, που συγκολλούνται με ειδικές διαδικασίες στις επιφάνειες των φυσικών δοντιών.
Δεδομένου ότι δεν καλύπτουν ολόκληρη την επιφάνεια των δοντιών, οι όψεις αναφέρονται επίσης και ως προσθετικές αποκαταστάσεις μερικής κάλυψης, σε αντίθεση με τις στεφάνες (θήκες) που χαρακτηρίζονται ως προσθετικές αποκαταστάσεις ολικής επικάλυψης.

Επιλέγονται για την αποκατάσταση των αισθητικών προβλημάτων του χαμόγελου, όπως είναι ο αποχρωματισμός των δοντιών, τα παλιά και μη αισθητικά σφραγίσματα, τα μικρά κατάγματα των δοντιών, οι αποτριβές και αποφλοιώσεις και οι ανωμαλίες στη θέση και το σχήμα των δοντιών, όπως οι αραιοδοντίες και οι μικροδοντίες.


Γενικά, οι όψεις στοχεύουν στην αντιμετώπιση των ατελειών του χαμόγελου που σχετίζονται με το σχήμα και τη μορφολογία των δοντιών. Μπορούν να αποτελούν μέρος μιας διαδικασίας «βελτίωσης του χαμόγελου» με όμορφα ευθυγραμμισμένα, καλοσχηματισμένα δόντια και μπορεί να εξαλείψουν την ανάγκη για πιο εκτεταμένες θεραπείες.
Τα σημαντικότερα πλεονεκτήματα των όψεων είναι η ανθεκτικότητα και η μακρόχρονη επιβίωση, η βελτιωμένη εμφάνιση του χαμόγελου και η ελάχιστη αφαίρεση της οδοντικής ουσίας σε σύγκριση με τις στεφάνες (θήκες).
ΟΨΕΙΣ ΕΛΑΧΙΣΤΗΣ ΠΑΡΕΜΒΑΣΗΣ ΤΜΗΜΑΤΙΚΕΣ ΟΨΕΙΣ
ΟΨΕΙΣ ΣΥΝΘΕΤΗΣ ΡΗΤΙΝΗΣ
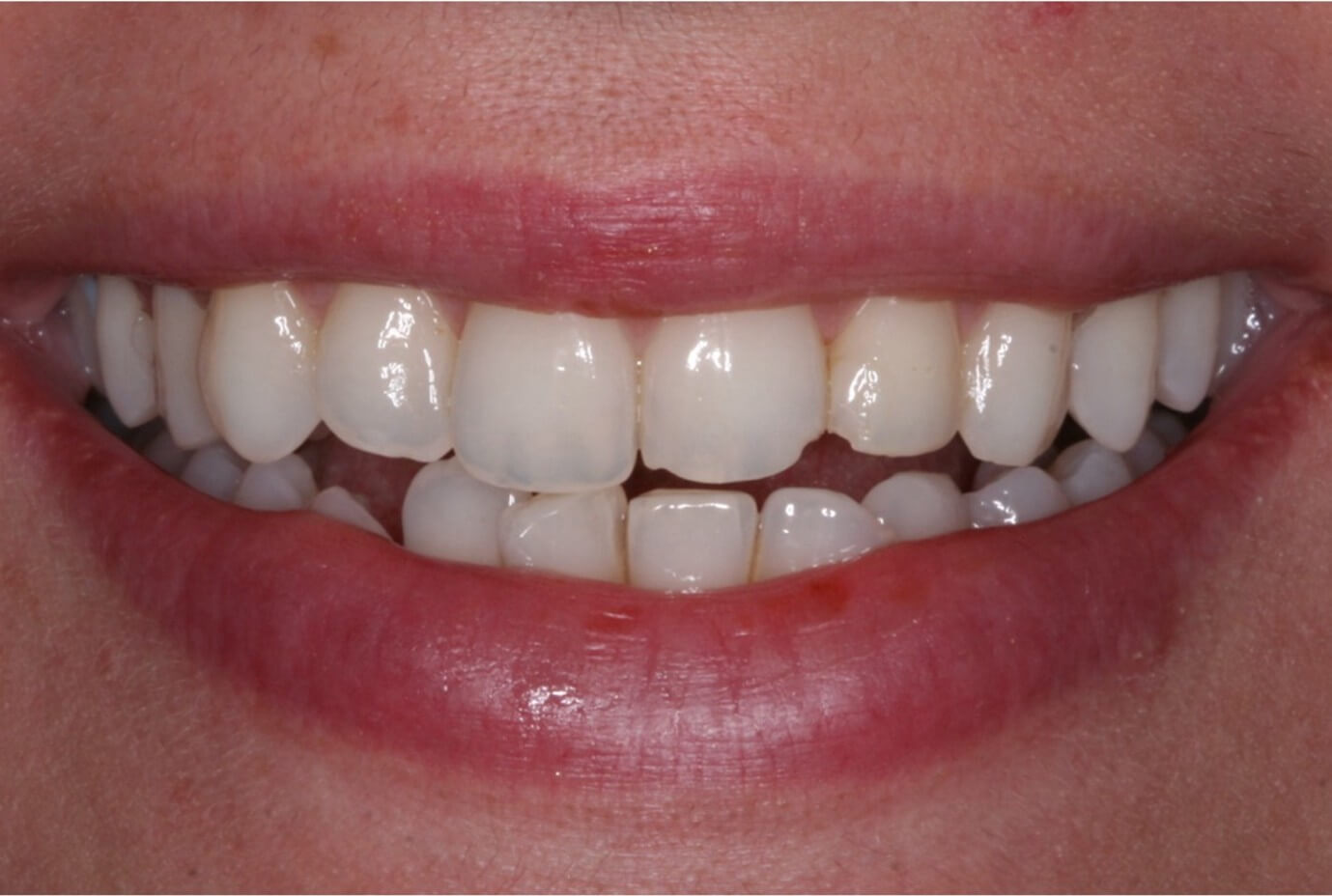
Κλινικά Περιστατικά


Όψεις Πορσελάνης Ελάχιστης ή Μηδενικής Παρέμβασης
Σε κάποιες κλινικές περιπτώσεις, είναι δυνατό να βελτιώσουμε την αισθητική του χαμόγελου με την κατασκευή όψεων πορσελάνης, αφαιρώντας ελάχιστα ή και καθόλου από τη φυσική δομή του δοντιού.
Αυτές οι αποκαταστάσεις λέγονται «όψεις ελάχιστης παρέμβασης» ή «όψεις μηδενικής παρέμβασης» αντιστοίχως. Συχνά αναφέρονται με τον αγγλικό όρο Prepless veneers.

Η όψη καλύπτει ολόκληρη την εξωτερική επιφάνεια του δοντιού και ίσως να επεκτείνεται αγκαλιάζοντας μικρό τμήμα της πλαϊνής επιφάνειας. Το ελάχιστο πάχος στα όριά τους μπορεί να είναι 0,1mm, σαν ένας φακός επαφής. Αυτό το είδος της θεραπείας μπορεί να είναι η μια λύση για ασθενείς που επιθυμούν βελτίωση στο χαμόγελό τους σε φυσικά δόντια χωρίς έντονους αποχρωματισμούς ή εκτεταμένες τερηδόνες.
Τμηματικές Όψεις
Είναι τμηματικές κεραμικές όψεις , οι οποίες καλύπτουν μέρος και όχι ολόκληρη την επιφάνεια του δοντιού. Πολύ συχνά είναι όψεις ελάχιστης ή μηδενικής παρέμβασης. Αποκαθιστούν απωλεσθέντα τμήματα του δοντιού, χωρίς να χρειαστεί να απομακρυνθεί επιπλέον οδοντική ουσία. Μπορούν επίσης να αποκαταστήσουν δόντια με αποφλοιώσεις, μικρά διαστήματα (κενά) με τα γειτονικά τους ή με ατέλειες στο σχήμα.

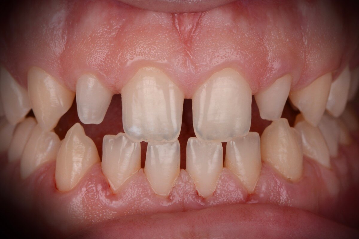
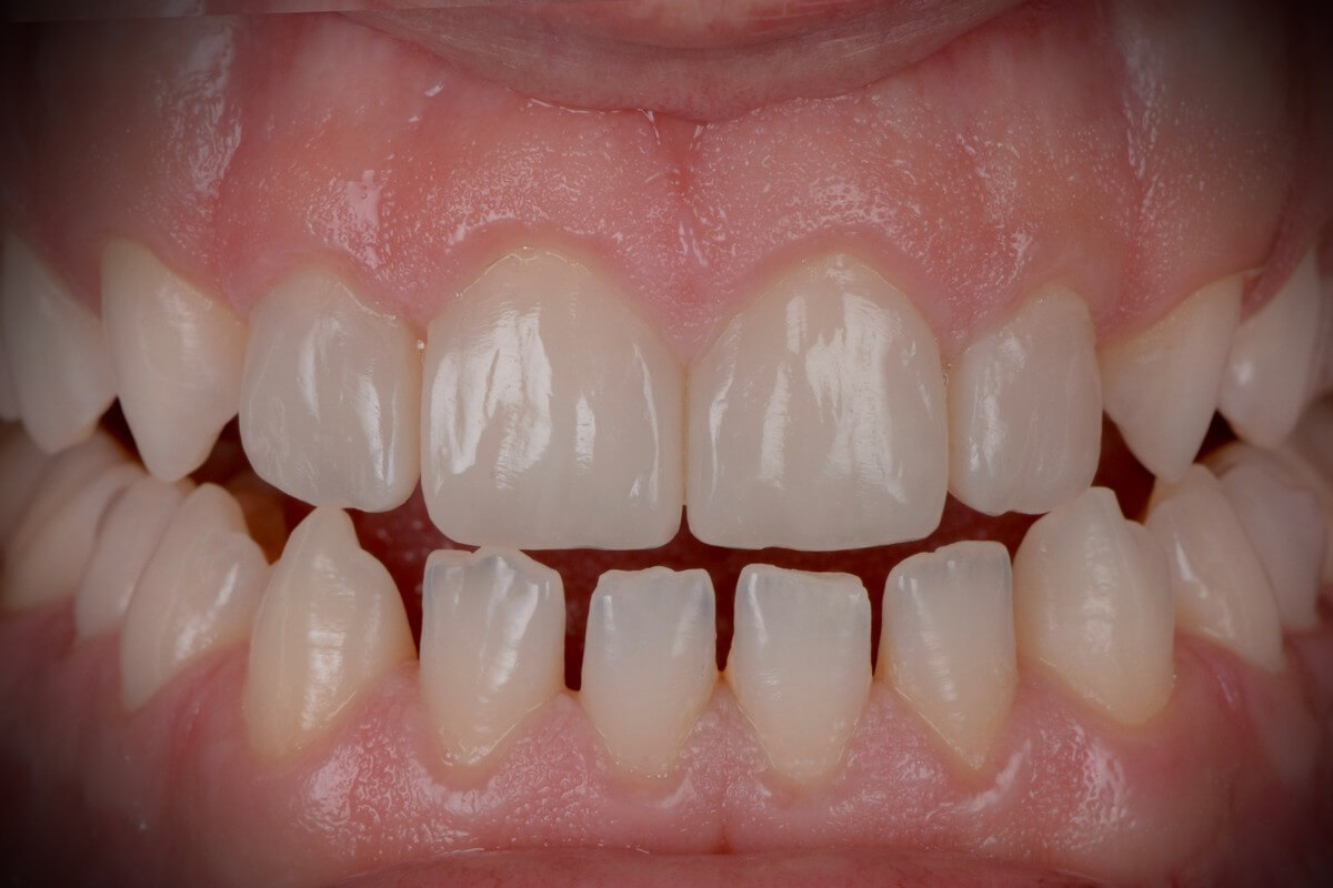
Κλινικά Περιστατικά


Όψεις Σύνθετης Ρητίνης
Αυτός ο τύπος όψεων αποτελείται από σύνθετη ρητίνη που συγκολλάται στην οδοντική επιφάνεια. Γίνεται επιλογή της επιθυμητής απόχρωσης της σύνθετης ρητίνης, η οποία τοποθετείται σε στρώσεις πάνω στην οδοντική επιφάνεια. Έτσι το δόντι αποκτά το επιθυμητό σχήμα, το μήκος και τα χαρακτηριστικά επιφάνειας που το εναρμονίζουν με τα γειτονικά δόντια. Αποτελούν ένα ελκυστικό και σχετικά οικονομικότερο εναλλακτικό σχέδιο για τις όψεις πορσελάνης.

Πολύ συχνά αυτή η κλινική διαδικασία αναφέρεται και ως «bonding», δηλαδή συγκόλληση ή χτίσιμο της σύνθετης ρητίνης επί του δοντιού.
Κλινικά Περιστατικά

