ΟΔΟΝΤΙΚΗ ΓΕΦΥΡΑ
Τι είναι μια γέφυρα δοντιών;
Μια οδοντιατρική γέφυρα είναι μια ακίνητη αποκατάσταση που έχει σχεδιαστεί για να αντικαταστήσει ένα ή περισσότερα δόντια που λείπουν. Ονομάζεται «γέφυρα» γιατί κυριολεκτικά γεφυρώνει το κενό που έχει δημιουργηθεί από την απώλεια δοντιών. Μπορεί να είναι η ιδανική λύση για έναν ασθενή που έχει χάσει ένα ή περισσότερα δόντια.
Η γέφυρα αποτελείται από στεφάνες που τοποθετούνται πάνω σε δόντια που έχουν προετοιμαστεί κατάλληλα και ονομάζονται στηρίγματα και από ένα ή περισσότερα τεχνητά δόντια που γεφυρώνουν το κενό ανάμεσά στα στηρίγματα αποκαθιστώντας τα ελλείποντα δόντια και ονομάζονται γεφυρώματα ή ενδιάμεσα.
Η γέφυρα εναρμονίζεται πλήρως με τα γειτονικά δόντια και παρέχει στον ασθενή ένα λειτουργικό και αισθητικό αποτέλεσμα.
Με βάση το υλικό κατασκευής τους οι γέφυρες διακρίνονται σε
- Μεταλλοκεραμικές γέφυρες που διαθέτουν μεταλλικό σκελετό ο οποίος φέρει επικάλυψη πορσελάνης
- Ολοκεραμικές γέφυρες που είναι κατασκευασμένες αποκλειστικά από πορσελάνη όπως ζιρκόνιο ή σπανιότερα διπυριτικό λίθιο.
Η οδοντική γέφυρα είναι μια αποκατάσταση με υψηλά ποσοστά μακροχρόνιας επιβίωσης και αποτελεί πολύ ελκυστική εναλλακτική λύση σε μια μερική κινητή οδοντοστοιχία ή σε μια επιεμφυτευματική αποκατάσταση, σε περιπτώσεις ειδικά που είναι αδύνατο να τοποθετηθούν εμφυτεύματα.
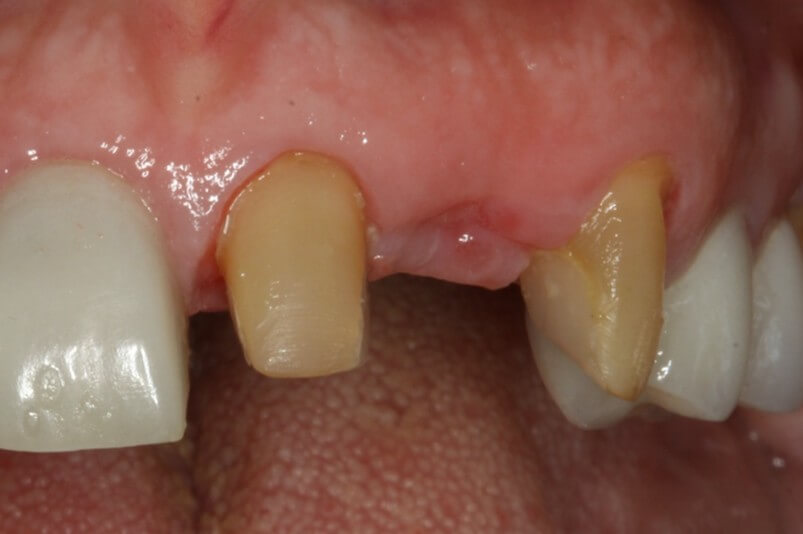
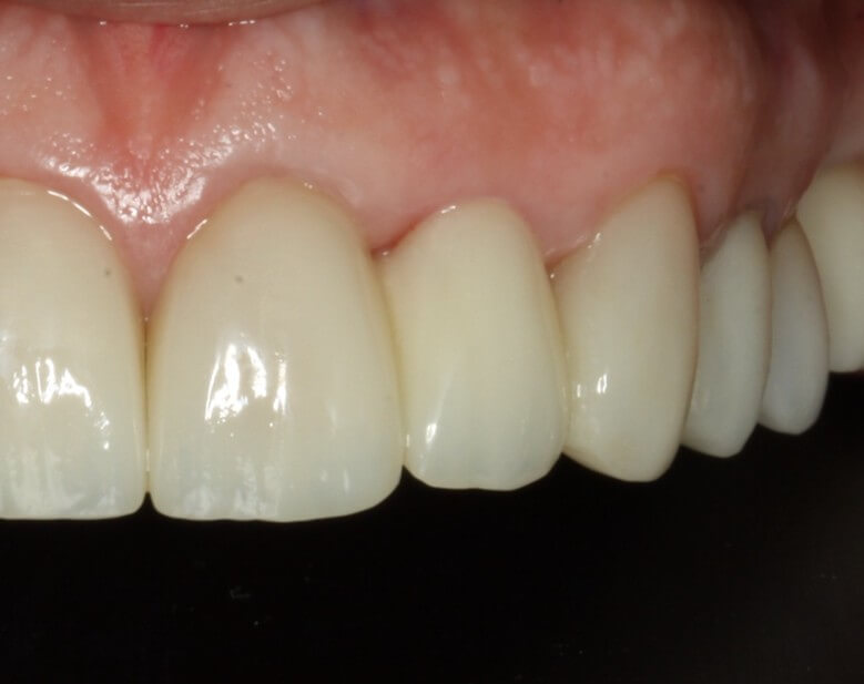
Κλινικά Περιστατικά

