ΟΔΟΝΤΙΚΕΣ ΣΤΕΦΑΝΕΣ - ΘΗΚΕΣ
Τι είναι η οδοντική στεφάνη;
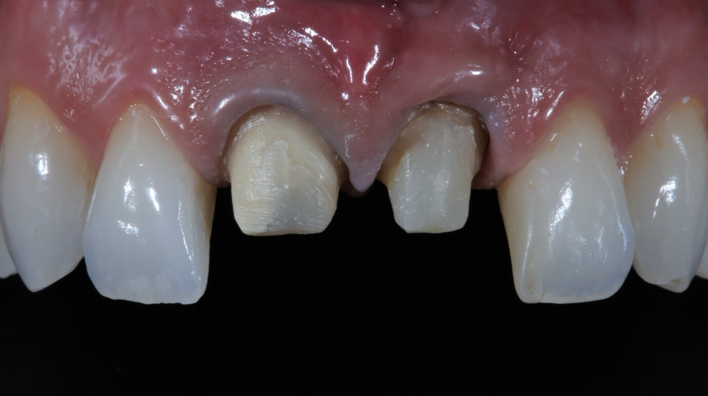
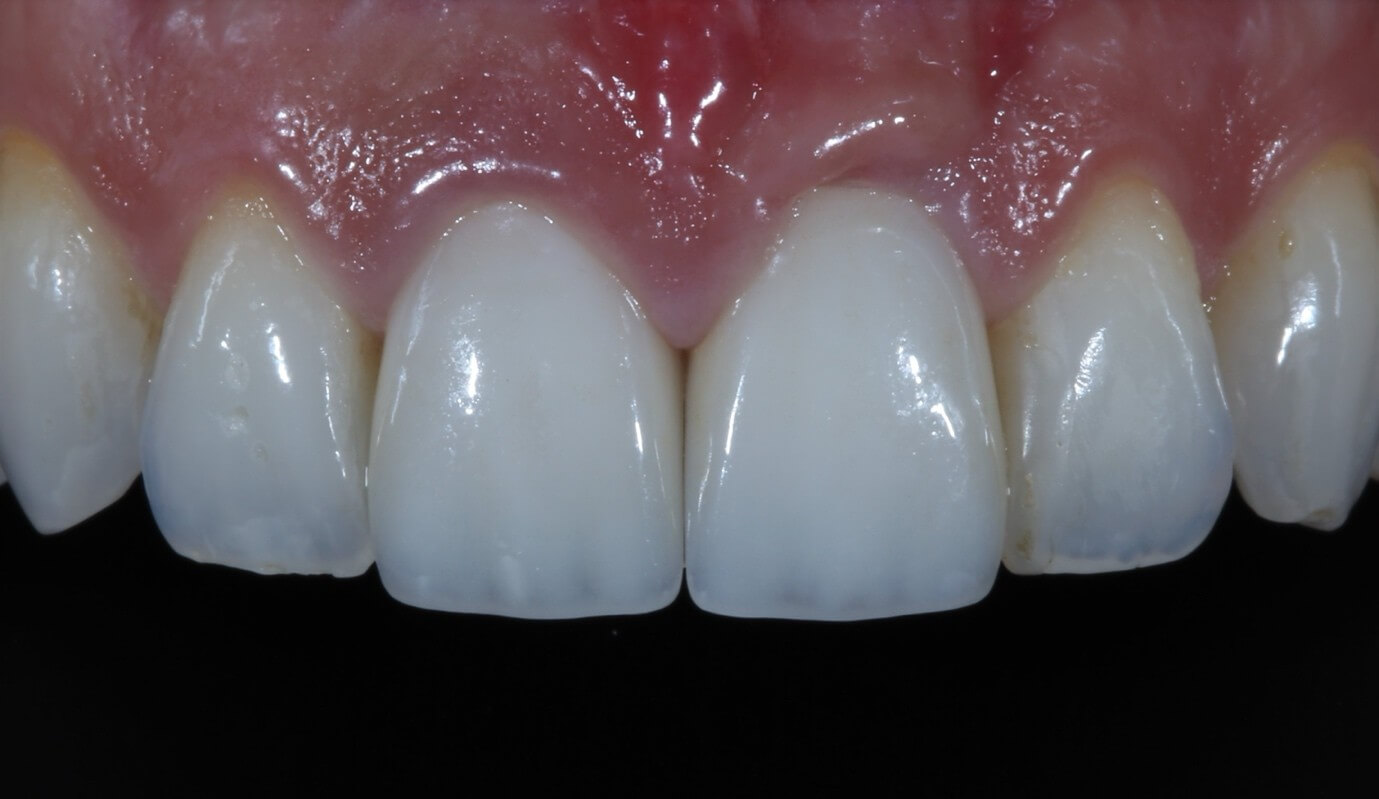
Η Οδοντική Στεφάνη, κοινώς ονομαζόμενη και θήκη, είναι μια ακίνητη προσθετική αποκατάσταση που αποκαθιστά ένα σπασμένο, φθαρμένο ή κατεστραμμένο δόντι στην αρχική του μορφή. Η στεφάνη τοποθετείται από τον οδοντίατρο πάνω σε ένα δόντι που έχει προετοιμαστεί κατάλληλα και συχνά καλύπτει όλες τις επιφάνειες του δοντιού. Μια στεφάνη μπορεί να αποτελεί τη θεραπεία εκλογής για ένα δόντι που έχει υποστεί ενδοδοντική θεραπεία (απονεύρωση), που έχει εκτεταμένα σφραγίσματα, είναι φθαρμένο ή αποχρωματισμένο.
Με βάση το υλικό κατασκευής τους οι στεφάνες διακρίνονται σε
- Μεταλλοκεραμικές στεφάνες που διαθέτουν μεταλλικό σκελετό ο οποίος φέρει επικάλυψη πορσελάνης
- Ολοκεραμικές στεφάνες που είναι κατασκευασμένες αποκλειστικά από πορσελάνη όπως ζιρκόνιο ή διπυριτικό λίθιο.
Σήμερα τείνει να επικρατήσει η χρήση των ολοκεραμικών στεφανών που υπερτερούν των μεταλλοκεραμικων σε αρκετά σημεία.
Πλεονεκτήματα ολοκεραμικών στεφανών
-Υψηλή αισθητική απόδοση : Οι ολοκεραμικές στεφάνες μιμούνται καλύτερα τη φυσική διαφάνεια και το χρώμα των φυσικών δοντιών.
-Απουσία μετάλλου : Αποφεύγεται το αντιαισθητικό γκριζάρισμα από την πιθανή εμφάνιση του μετάλλου στον αυχένα του δοντιού κοντά στα ούλα. Συχνά τα μέταλλα εκλύουν οξείδια που μπορεί να δημιουργήσουν αποχρωματισμό στα ούλα, κάτι που αποφεύγεται με τις ολοκεραμικές στεφάνες.
-Βιοσυμβατότητα : Είναι φιλικές προς τα ούλα και μειώνουν τον κίνδυνο αλλεργικής αντίδρασης ή ευαισθησίας που μπορεί να προκύψει από μέταλλα. Επίσης η λεία επιφάνειά τους δυσκολεύει τη συγκράτηση μικροβιακής πλάκας, συμβάλλοντας στη στοματική υγιεινή.
Οι στεφάνες μπορούν επίσης να τοποθετηθούν και επάνω σε οδοντικά εμφυτεύματα (επιεμφυτευματικές στεφάνες).
Κλινικά Περιστατικά


