ΕΜΦΥΤΕΥΜΑΤΑ
Τι είναι τα εμφυτεύματα;
Τα οδοντικά εμφυτεύματα είναι τεχνητές ρίζες κατασκευασμένες από τιτάνιο που τοποθετούνται στο οστό της γνάθου. Ένα οδοντικό εμφύτευμα μπορεί να αντικαταστήσει τη ρίζα ενός φυσικού δοντιού που λείπει και να αποτελέσει τη βάση για μια αποκατάσταση που προσομοιάζει στα γειτονικά φυσικά δόντια. Μια επιεμφυτευματική αποκατάσταση είναι πλήρως λειτουργική όπως και ένα φυσικό δόντι.

Σε περιπτώσεις που λείπουν πιο πολλά δόντια, μπορούν να αποκατασταθούν με μια εκτεταμένη επιεμφυτευματική αποκατάσταση (γέφυρα). Εάν λείπουν όλα τα δόντια σε μια γνάθο, αυτά μπορούν να αποκατασταθούν με μια επιεμφυτευματική αποκατάσταση ολικού τόξου.
Τα εμφυτεύματα μπορούν να αποτελέσουν τη βάση για μια ποικιλία επιεμφυτευματικών αποκαταστάσεων, όπως:
- Στεφάνες, που αποκαθιστούν την έλλειψη ενός μόνο δοντιού.
- Γέφυρες, που αντικαθιστούν μια σειρά δοντιών που λείπουν.
- Γέφυρες Ολικού Τόξου. Ακίνητες επιεμφυτευματικές αποκαταστάσεις που μπορούν να αποκαταστήσουν όλα τα δόντια μιας ή και των δύο γνάθων.
- Επένθετες οδοντοστοιχίες. Κινητές επιεμφυτευματικές προσθέσεις που μπορούν να αποκαταστήσουν όλα τα δόντια μιας γνάθου
ΕΠΙΕΜΦΥΤΕΥΜΑΤΙΚΕΣ ΓΕΦΥΡΕΣ ΟΛΙΚΟΥ ΤΟΞΟΥ ΕΠΙΕΜΦΥΤΕΥΜΑΤΙΚΕΣ ΣΤΕΦΑΝΕΣ - ΘΗΚΕΣ
ΕΠΙΕΜΦΥΤΕΥΜΑΤΙΚΗ ΓΕΦΥΡΑ
Κλινικά Περιστατικά


Τι είναι η επιεμφυτευματική γέφυρα "ολικού τόξου";
Είναι μια ακίνητη επιεμφυτευματική αποκατάσταση μπορεί να αποκαταστήσει όλα τα δόντια ενός οδοντικού τόξου δηλαδή όλα τα δόντια της άνω ή της κάτω γνάθου. Τοποθετείται πάνω σε 4, 6 ή περισσότερα εμφυτεύματα, ανάλογα με την περίπτωση. και αποκαθιστά τη φυσική εικόνα και λειτουργία των δοντιών που λείπουν.

Η άλλη επιλογή θα ήταν η κατασκευή κινητών αποκαταστάσεων, όπως ολικών οδοντοστοιχιών (μασέλες) ή επένθετων επιεμφυτευματικών οδοντοστοιχιών.
Οι ακίνητες αποκαταστάσεις υπερτερούν των κινητών γιατί προσομοιάζουν στην λειτουργία και την αίσθηση τα φυσικά δόντια και είναι μόνιμα τοποθετημένες πάνω στα εμφυτεύματα (δεν μπορεί ο ασθενής να τις αφαιρέσει).

Κλινικά Περιστατικά


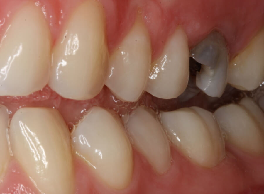
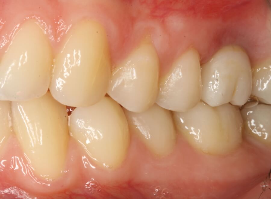
Τι είναι μια επιεμφυτευματική στεφάνη;
Μια επιεμφυτευματική στεφάνη (θήκη) προσομοιάζει σε μια συνήθη οδοντική στεφάνη με τη διαφορά όμως ότι στηρίζεται σε ένα εμφύτευμα αντί σε ένα φυσικό δόντι.
Αποτελεί τον πιο συντηρητικό τρόπο για να αποκαταστήσουμε ένα δόντι που λείπει, καθώς δε χρειάζεται να επέμβουμε στα γειτονικά δόντια.

Στόχος είναι να εναρμονιστεί οπτικά με τα γειτονικά δόντια και ταυτόχρονα να δώσει στον ασθενή ένα πλήρως λειτουργικό δόντι.
Κλινικά Περιστατικά


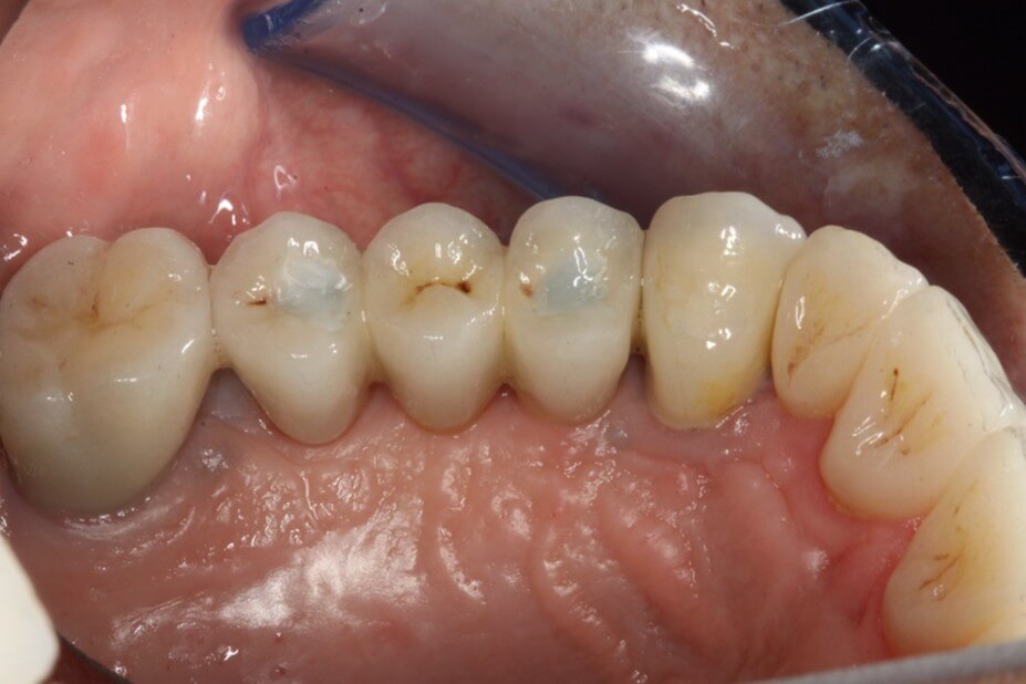
Τι είναι η επιεμφυτευματική γέφυρα;
Η επιεμφυτευματική γέφυρα είναι μια οδοντική πρόσθεση που είναι μόνιμα τοποθετημένη πάνω σε δύο ή περισσότερα εμφυτεύματα.
Είναι μια θεραπεία για ασθενείς που έχουν χάσει περισσότερα από δύο δόντια και δεν επιλέγουν μια κλασσική οδοντική γέφυρα ή σε περιπτώσεις που δεν υπάρχει δυνατότητα να κατασκευασθεί μια συμβατική γέφυρα επί δοντιών. Η επιεμφυτευματική γέφυρα είναι μια αποκατάσταση με μακροχρόνια ποσοστά επιβίωσης και αποτελεί πολύ ελκυστική εναλλακτική λύση σε μια μερική κινητή οδοντοστοιχία. Εναρμονίζεται με τα γειτονικά δόντια και παρέχει στον ασθενή ένα πλήρως λειτουργικό και αισθητικό αποτέλεσμα. Ο ασθενής μπορεί να φάει, να πιει και να μασήσει όπως θα έκανε με τα φυσικά του δόντια.

Κλινικά Περιστατικά



