ΑΙΣΘΗΤΙΚΕΣ ΑΠΟΚΑΤΑΣΤΑΣΕΙΣ ΣΥΝΘΕΤΗΣ ΡΗΤΙΝΗΣ
Τι είναι οι αισθητικές αποκαταστάσεις σύνθετης ρητίνης;
Οι εμφράξεις ή ανασυστάσεις σύνθετης ρητίνης, αναφέρονται σε άμεσες αποκαταστάσεις δοντιών που έχουν τερηδόνα ή κάποιο κάταγμα/ φθορά στην επιφάνεια τους. Είναι τα γνωστά «λευκά σφραγίσματα», διαδικασία με την οποία ο οδοντίατρος δίνει πίσω το επιθυμητό σχήμα και δομή σε ένα δόντι που τα έχει χάσει, συχνότερα λόγω τερηδονικής βλάβης, άλλοτε άλλης έκτασης.

Η έμφραξη μπορεί να αφορά σε μία, δύο ή και περισσότερες επιφάνειες του δοντιού, ανάλογα με την έκταση της βλάβης.
Η σύνθετη ρητίνη, ή αλλιώς «`το λευκό υλικό για σφραγίσματα», είναι ένα υλικό με πολύ καλή μηχανική συμπεριφορά, αρκετά κοντά στις φυσικές μηχανικές ιδιότητες του φυσικού δοντιού.

Με τις σύγχρονες τεχνικές, αλλά και την ποικιλία στις χρωματικές ‘παλέτες’ , η έμφραξη με σύνθετη ρητίνη κυριολεκτικά χάνεται οπτικά στο δόντι και κατ επέκταση στο σύνολο του φραγμού.
Η αποκατάσταση τελειώνει στο ίδιο ραντεβού και εμφανίζει πολύ καλή μακροχρόνια συμπεριφορά, καθώς οι τεχνικές για τη συγκόλληση αυτών των υλικών στα δόντια έχουν εξελιχθεί ιδιαιτέρως.
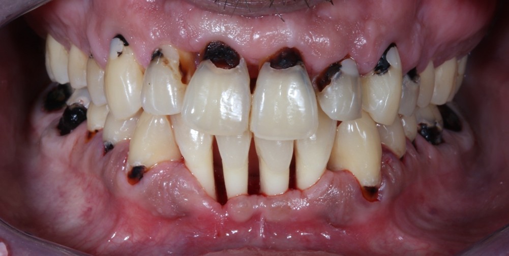
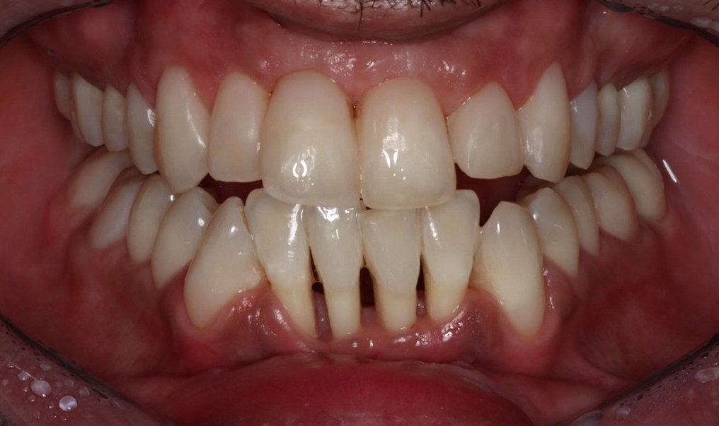
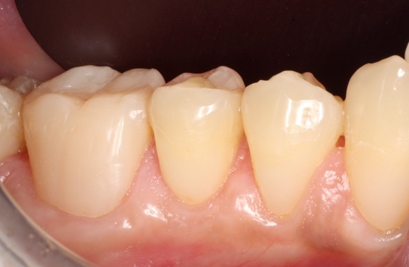
Κλινικές Περιπτώσεις


